Tìm hiểu chung
Viêm họng do liên cầu là gì?
Viêm họng do liên cầu là tình trạng bệnh do vi khuẩn Streptococcus gây ra khiến cổ họng đau rát, hỗn tạp. Bệnh có nhiều triệu chứng nghiêm trọng hơn so với nhiễm trùng cổ họng do virus. Trường hợp bệnh không được điều trị kịp thời sẽ gây những biến chứng nguy hiểm như: đau khớp và viêm, phát ban và thậm chí cả thiệt hại cho van tim, viêm thận và sốt thấp khớp.
Bệnh xảy ra ở nhiều đối tượng, lứa tuổi, phổ biến nhất là ở trẻ em từ 5 đến 15 tuổi. Bạn nên phòng ngừa, đẩy lùi các yếu tố nguy cơ gây bệnh cho bản thân và người thân cho gia đình.

Triệu chứng thường gặp
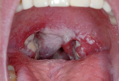
Những dấu hiệu và triệu chứng của bệnh viêm họng do liên cầu
Bệnh có những dấu hiệu, triệu chứng như sau:
-
Đau họng, khó khăn khi nuốt;
-
Sốt cao từ 38°C;
-
Cảm giác giác đau đầu, mệt mỏi, khó chịu, phát ban;
-
Tiêu hóa không ổn định như đau dạ dày, chán ăn, buồn nôn;
-
Đau cơ, cứng cơ;
-
Sưng hạch hầu và có những mảng trắng trong cổ họng hoặc những chấm đỏ nhỏ có thể xuất hiện trên vòm miệng;
-
Các hạch bạch huyết ở cổ sưng lên và đau.
Khi nào cần gặp bác sĩ?
Bệnh viêm họng do liên cầu có thể tự hết sau 5 - 7 ngày, tuy nhiên bạn nên theo dõi triệu chứng bệnh và đến gặp bác sĩ để được tư vấn điều trị kịp thời khi xuất hiện những vấn đề sau:
-
Đau họng kèm sưng tuyến bạch huyết, đau họng kéo dài, đau họng kèm sốt cao trên 38OC ở trẻ lớn hoặc sốt lâu hơn 48 tiếng.
-
Người bệnh có cảm giác khó thở, khó nuốt, nuốt đau.
-
Sốt cao kèm tình trạng đau khớp, thở gấp và phát ban.
-
Sốt kèm nước tiểu đậm màu hơn 1 tuần sau khi đau họng rất nguy hiểm dễ biến chứng nghiêm trọng vì thận bị sưng do khuẩn liên cầu.
Chẩn đoán và điều trị sớm sẽ giảm nguy cơ tăng nặng của bệnh và giúp bạn mau chóng hồi phục sức khỏe.
Nguyên nhân gây bệnh
Nguyên nhân dẫn đến viêm họng do liên cầu khuẩn
Vi khuẩn tên Streptococcus pyogenes, hoặc Streptococcus nhóm A là nguyên nhân gây bệnh phổ biến nhất.
Bệnh viêm họng dễ lây qua:
-
Đường hô hấp: Người bệnh nói chuyện, hắt hơi làm vi khuẩn ra ngoài không khí và truyền bệnh cho những người hít phải không khí chứa vi khuẩn.
-
Ăn uống chung hay sử dụng đồ chung với người bệnh.
-
Tiếp xúc trực tiếp với vi khuẩn gây bệnh.
Nguy cơ mắc phải
Những ai có nguy cơ viêm họng do liên cầu khuẩn?
Viêm họng do liên cầu khuẩn dễ phát bệnh khi gặp những yếu tố nguy cơ sau:
-
Trẻ em từ 5 - 15 tuổi dễ nhiễm vi khuẩn.
-
Bệnh dễ bùng phát vào thời gian giao mùa, đặc biệt vào cuối thu đến đầu xuân, dễ lây lan ở nơi đông người như bệnh viện, trường học.
-
Người có hệ miễn dịch kém là đối tượng dễ mắc bệnh.
Điều trị hiệu quả
Phương pháp xét nghiệm và chẩn đoán viêm họng do liên cầu khuẩn
Bệnh viêm họng do liên cầu được chẩn đoán qua triệu chứng, khám lâm sàng và một số xét nghiệm như:
-
Xét nghiệm dịch từ cổ họng để xác định có sự hiện diện của vi khuẩn gây bệnh.
-
Xét nghiệm kháng nguyên: bác sĩ sẽ yêu cầu bạn sẽ phải thực hiện phương pháp này khi kết quả từ việc lấy mẫu dịch không đáp ứng được yêu cầu.
Phương pháp điều trị viêm họng do liên cầu khuẩn hiệu quả
Người bệnh sẽ được bác sĩ tư vấn hướng điều trị phù hợp. Thông thường, bác sĩ sẽ chỉ định thuốc kháng sinh như penicillin giúp giảm thời gian bạn lây bệnh. Ngoài ra, bạn có thể sử dụng một số kháng sinh thay thế như cephalosporin (cephalexin) hoặc macrolide (erythromycin, azithromycin).
Thuốc chứa paracetamol có thể được dùng giảm đau cổ họng và hạ sốt.
Đối với trẻ thì dùng dung dịch uống amoxicillin tương đối dễ uống hơn thuốc, không nên tự ý cho trẻ dùng aspirin do có thể có nguy cơ phát triển hội chứng Reye.
Bên cạnh đó, bạn nên áp dụng các phương pháp chăm sóc sức khỏe như chế độ nghỉ ngơi, uống nhiều nước ấm, nước chanh, ăn đồ mềm, súc miệng bằng nước muối ấm loãng và hạn chế tiếp xúc với khói bụi, thuốc lá.
Chế độ sinh hoạt phù hợp
Những thói quen sinh hoạt có thể giúp bạn hạn chế diễn tiến của viêm họng do liên cầu
Áp dụng một lối sống khoa học sẽ giúp bạn kiểm soát được bệnh viêm họng do liên cầu. Bạn nên lưu ý:
-
Chế độ sinh hoạt, làm việc khoa học, tập thể dục để có sức đề kháng tốt.
-
Vệ sinh tay để hạn chế khả năng lây bệnh.
-
Bổ sung vitamin C.
-
Uống thuốc đầy đủ theo toa bác sĩ.
-
Tránh tiếp xúc với nguồn bệnh, không sử dụng chung đụng đồ dùng, thức ăn với người bệnh.
-
Chế độ ăn uống hợp lý, đủ chất. Nên dùng thức ăn mềm như súp, cháo, sữa, sữa chua, rau quả nấu chín, trái cây.
-
Hạn chế tiếp xúc thực phẩm, đồ uống lạnh; đồ ăn cay, kích thích.
-
Khi mắc bệnh nên tránh các hoạt động gây lây nhiễm cho người khác như ho, hắc hơi.
-
Lối sống lành mạnh tránh sử dụng thuốc lá, chất kích thích, bia rượu.
- Mọi thông tin trên đây chỉ mang tính chất tham khảo. Việc sử dụng thuốc phải tuân theo hướng dẫn của bác sĩ chuyên môn.